네이버예약
진료시간
오시는길
블로그
간편 상담
궁금하신 사항을 아래 문의 내용에 입력해주시면
보다 빠르게 전화로 상담을 도와드립니다
이름
연락처
문의내용
개인정보수집동의
개인정보취급방침
고은이플란트 소개
인사말
의료진 소개
둘러보기
진료시간
오시는길
공지사항
고은이플란트의 특별함
구강악안면외과 전문의 진료
보존과 전문의 진료
임플란트 숙련가
한곳에서 10년이상
자연치아 보존원칙
추천, 소개가 많은 치과
고은이 임플란트
뼈이식 임플란트
상악동 임플란트
전악 임플란트
보험 임플란트
재수술 임플란트
앞니 원데이 임플란트
임플란트 틀니
임플란트 평생관리
일반진료
신경치료
치주프로그램
스케일링
사랑니발치
올세라믹
고은이 칼럼
고은이 칼럼
02.3272.2080
고은이 칼럼
고은이 칼럼
GOEUN E PLANT DENTAL CLINIC
고은이플란트
칼럼
고은이플란트치과는 약속합니다
더 정직하게, 더 바르게, 더 편안하게
진료하겠습니다
수능끝나고 치아미백 하기위해 방문한 사례
결혼식 전 치아미백 언제하는게 좋을까요?
틀니 대신 전체임플란트를 선택하는 이유
앞니 신경치료 후 치아미백, 크라운까지
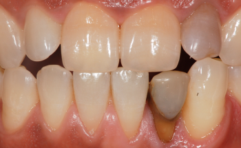
신경치료 후 크라운 안하면 안되는 이유
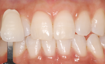
치아미백, 올세라믹 보철치료로 되찾은 자연스러운 앞니
과자 먹다가 앞니가 부러졌어요 !
아말감 후 2차충치가 생기는 이유
신경치료후 크라운을 씌워야 하는 이유
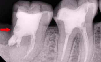
치주염으로 인한 신경치료 케이스
앞니가 부러졌다면
상악 흔들리는 치아 발치 후 전체임플란트 케이스
무치악에서 전체임플란트로 회복한 사례
잇몸질환으로 인한 발치 후 임플란트 케이스
충치의 무서움
1
2
선택
제목