GOEUN E PLANT DENTAL CLINIC
믿을 수 있는 의료진
구강악안면외과 전문의 대표원장
임플란트는 고은이플란트치과
뼈이식, 상악동수술은 물론 고난도 임플란트까지!
풍부한 임상경험을 갖춘 의료진이 진료합니다
궁금하신 사항을 아래 문의 내용에 입력해주시면
보다 빠르게 전화로 상담을 도와드립니다
뼈이식, 상악동수술은 물론 고난도 임플란트까지!
풍부한 임상경험을 갖춘 의료진이 진료합니다
불필요한 발치를 최소한으로 줄이고
자연치아를 살리는 보존치료를 최우선으로 진행합니다
치과가 같은 장소에서 얼마나 오랫동안 운영을 했는지
확인해 보는 것은 좋은 치과를 찾는 방법 중 하나입니다
합리적인 비용과 정직한 진료로 마음 편하게
내원할 수 있도록 치과문턱을 낮추었습니다
안녕하세요. 고은이플란트치과입니다. 치아미백 상담을 하다 보면 생각보다 부모님과 자녀가 함께 내원하시는 경우가 종종 있습니다. 이번에 내원하신 분도 딸아이가 수능을 끝내고 나서 치...
결혼을 앞두고 계신 예비 신부님들이 마포 공덕역 치과에 많이들 찾아 오십니다. 드레스, 메이크업, 헤어만큼이나 사진에 가장 또렷하게 남는 것이 치아이기 때문이죠. 이번에 내원하신 환자분도...
안녕하세요. 고은이플란트치과 전준혁 원장입니다. 오늘은 남아 있던 치아를 모두 발치한 뒤, 윗니·아랫니 전체임플란트를 진행한 사례를 한 번 소개해 드리려고 합니다. 전체임플란트(전악 임플란트라고 부르기도 합니...
오늘은 앞니 변색과 치근단 농양으로 내원셨던 한 환자분의 치료 과정을 소개해드리려고 합니다. 내원 당시 모습: 색이 변한 앞니 + 엑스레이에서 보인 문제 ...
진료실에서 보면 "예전에 신경치료만 하고 괜찮을 줄 알았는데 갑자기 깨졌어요" 하며 오시는 분들이 종종 계십니다. 신경치료를 받은 치아는 겉으로 멀쩡해 보여도 속은 이미 ...
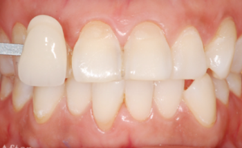
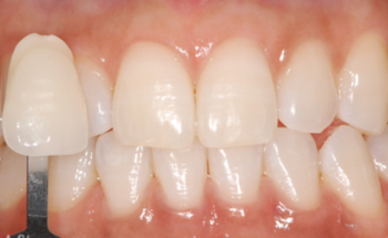
안녕하세요. 고은이플란트치과입니다. 앞니는 웃을 때 가장 먼저 보이는 치아이기 때문에, 변색이 생기면 환자분들이 겪는 불편이 생각보다 큽니다. 이런 경우 흔히 떠올리는 치료...
오늘 소개해드릴 이야기는 앞니 크라운이 부러져 큰 불편을 겪으시던 환자분의 사례입니다. "딱딱한 과자 한 조각 먹다가 ? 앞니가 뚝 부러졌어요…" 환자분은...
안녕하세요! 고은이플란트 인사드립니다 ^^ 오늘은 아말감으로 떼운 후 2차충치로 인해 골드인레이로 치료한 사례를 소개드리려고 합니다. 특히 아말감의...
안녕하세요 ~ 고은이플란트입니다. 많은 분들이 신경치료 후 꼭 크라운을 씌워야 하는지 여쭤보시는데요. 본원에 내원해주신 환자분 사례를 통해 자세하게 알려드리겠습니다. 타원에서 ...
안녕하세요 ~ 고은이플란트입니다. 본원에서 진행한 케이스를 통해 잇몸염증으로 인해 발치를 해야했지만 신경치료를 진행하여 자연치를 최대한 보존한 사례를 소개해드리겠습니다. 한 50대 여...