간편 상담

궁금하신 사항을 아래 문의 내용에 입력해주시면
보다 빠르게 전화로 상담을 도와드립니다

이름
연락처
문의내용

 GOEUN E PLANT DENTAL CLINIC

고은이플란트 칼럼

고은이플란트치과는 약속합니다
더 정직하게, 더 바르게, 더 편안하게 진료하겠습니다
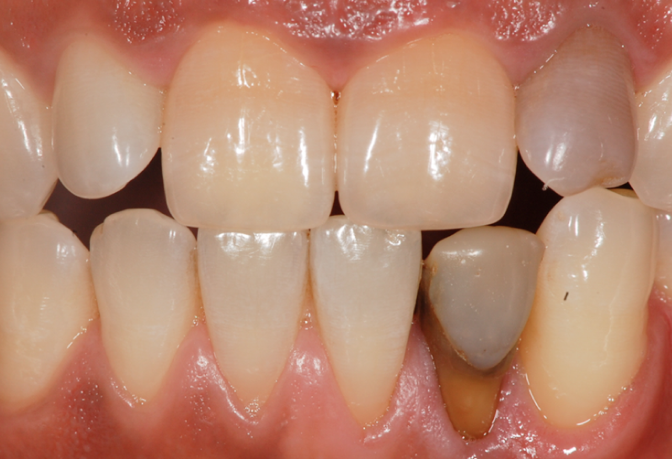
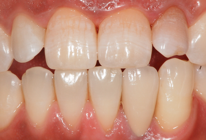
치아미백, 올세라믹 보철치료로 되찾은 자연스러운 앞니

작성일 | 2025.09.23 작성자 | 관리자

안녕하세요.
고은이플란트치과입니다.
 
앞니는 웃을 때
가장 먼저 보이는 치아이기 때문에,
변색이 생기면
환자분들이 겪는 불편이 생각보다 큽니다.
 
이런 경우
흔히 떠올리는 치료가 바로
치아미백인데요. 
 
그런데 단순 착색과 달리
신경치료 후 변색된 치아
일반 미백만으로는
해결되지 않는 경우가 있습니다. 
 
 
신경치료를 받은 치아가
시간이 지나며 변색되는 것은
내부에서 일어나는 변화 때문입니다.
 
신경과 혈관이 제거된 뒤에도
미세한 조직이 남아
분해되면서 색소가 침착되거나,
 
신경 손상 과정에서 발생한 출혈로 인해
혈액 성분이 치아 속에 스며들어
어둡게 변할 수 있습니다.
 
 
 
 
또한 신경이 없어지면
치아는 수분을 잃고 건조해지는데,
이로 인해
빛이 투과되는 성질이 줄어들면서
탁하고 회색빛을 띠게 됩니다.
 
이렇게
내부 원인으로 인해 변색된 경우에는
표면을 밝히는 일반미백은
효과가 제한적이기 때문에
 
실활치 미백이나 보철 치료가
필요한 경우가 많습니다.
 
 
또한
신경치료 이후 크라운을 씌운 후
시간이 지나면서 잇몸이 조금씩 내려가
 
경계가 드러나고 길어 보이며
색의 이질감까지 나타나
심미적으로 불편함을 줄 수도 있습니다.
 
이런 경우에는
기존 보철을 유지하기보다
잇몸 라인과 색조를 고려해
새롭게 크라운을 제작하는 것
심미성과 기능을 모두 회복하는 데
도움이 됩니다.
 
 
그렇기에 위 앞니는
내부에서 어둡게 변색된 부분을
개선하기 위해
실활치 치아미백을 진행하였고,
잇몸퇴축으로
경계가 드러났던 아래 앞니는
심미성과 기능을 회복하기 위해
새로운 크라운 보철치료를
시행하였습니다.
 
결과적으로
윗니와 아랫니 모두 주변 치와
자연스럽게 조화를 이루게 되었습니다.
 
밝고 건강한 미소를 되찾고 싶으시다면,
전문적인 진단과 상담을 통해
본인에게 맞는 방법을
찾아가시길 권해드립니다 ^^

목록

이전글 과자 먹다가 앞니가 부러졌어요 ! 2025.03.28
다음글 신경치료 후 크라운 안하면 안되는 이유 2025.10.31