간편 상담

궁금하신 사항을 아래 문의 내용에 입력해주시면
보다 빠르게 전화로 상담을 도와드립니다

이름
연락처
문의내용

 GOEUN E PLANT DENTAL CLINIC

고은이플란트 칼럼

고은이플란트치과는 약속합니다
더 정직하게, 더 바르게, 더 편안하게 진료하겠습니다
신경치료 후 크라운 안하면 안되는 이유

작성일 | 2025.10.31 작성자 | 관리자

진료실에서 보면

"예전에 신경치료만 하고

괜찮을 줄 알았는데 갑자기 깨졌어요" 하며

오시는 분들이 종종 계십니다.

 

 

 

신경치료를 받은 치아는

겉으로 멀쩡해 보여도 속은 이미 약해진 상태입니다.

 

치아 내부의 신경과 혈관을 제거하기 때문에,

영양 공급이 끊겨

치아가 마치 ‘건조한 나무’처럼 단단하지만

쉽게 깨지는 구조로 바뀝니다.

 

 

 

그래서 신경치료 후에는

반드시 크라운(보철)을 씌워

전체를 감싸주는 과정이 필요합니다.

 

그렇지 않으면

씹는 힘이 직접적으로 치아 벽에 전달되어,

시간이 지나면서

균열 → 파절 → 발치로

이어질 가능성이 매우 높습니다.

 

 

오늘 소개할 케이스 역시,

“예전에 신경치료만 하고

보철을 하지 않은 어금니가 깨진 경우” 입니다.

 

 

 

 

 

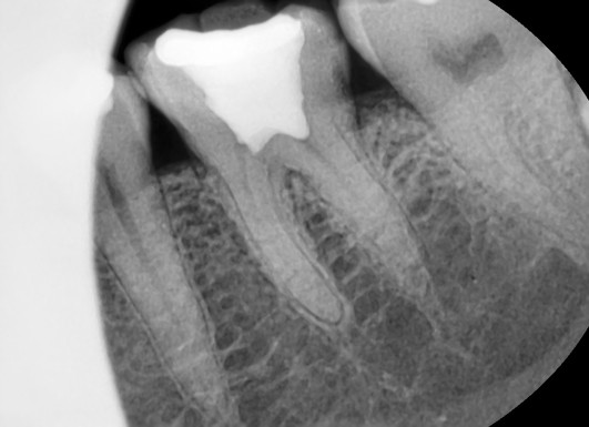
환자분은 왼쪽 아래 어금니가 깨지면서

통증이 생겨 내원하셨습니다.

 

 

 

 

 

엑스레이 촬영 결과,

치아 머리 부분뿐 아니라

잇몸 아래 뿌리까지

금이 깊게 내려간 상태였습니다.

 

겉으로 보기에는

단순히 깨진 것처럼 보여도,

 

실제로는 치아 내부 전체가 갈라져 있어

수복(보존)이 불가능한 단계였습니다

 

이런 경우에는

주변 잇몸뼈까지 염증이 번질 수 있기 때문에,

결국 발치가 불가피합니다.

 

 

 

 

이렇게 치아가 깨진 경우

치아가 단순히 흔들리거나

뿌리째 빠지는 경우와 달리,

 

  발치 과정이 훨씬 복잡합니다.

 

보통 치아는 하나의 덩어리로 뽑히지만,

 

이런 경우에는

치아가 조각나 있기 때문에

집게로 한 번에 잡아 빼기가 어렵습니다.

 

 

 

 

그래서 이런 경우에는

치조골 상태, 파절 방향,

치근 형태를 정확히 파악하고

 

경험 있는 술자가

섬세하게 발치를 진행해야 합니다.

 

 

 

 

 

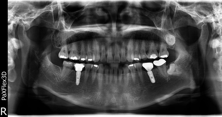
그 다음으로

이를 뽑고 난 자리에

인공치근을 심는 과정이 이루어지는데,

 

뿌리가 있던 자리와 인공치근 사이에는

빈 공간이 생깁니다.

 

 

 

 

 

그 틈을 메우기 위해

인공뼈(골이식재)를 함께 채워

임플란트가 단단히 자리 잡을 수 있도록 하는

과정이 필요합니다. 

 

 

 

 

 

이렇게 들어간 인공뼈는

서서히 아물며 자신의 치조골과 결합됩니다.

 

 

처음엔 단단하지 않아 보이지만,

시간이 지나면서 새 뼈가 자라나

임플란트를 단단히 감싸주는

‘지지대 역할’을 하게 되죠.

 

 

 

약 3개월의 치유 기간을 거친 뒤,

잇몸과 뼈가 충분히 안정된 시점에서

최종 크라운을 장착했습니다.

 

보철은 주변 치아 색상과

최대한 자연스럽게 맞춰 제작했고,

양쪽으로 편하게 씹을 수 있도록

교합을 세밀히 조정했습니다.

 

엑스레이 상에서 확인해보았을때도

상당히 안정적인 모습입니다 ^^

 

 

목록

이전글 치아미백, 올세라믹 보철치료로 되찾은 자연스러운 앞니 2025.09.23
다음글 앞니 신경치료 후 치아미백, 크라운까지 2025.11.17