간편 상담

궁금하신 사항을 아래 문의 내용에 입력해주시면
보다 빠르게 전화로 상담을 도와드립니다

이름
연락처
문의내용

 GOEUN E PLANT DENTAL CLINIC

고은이플란트 칼럼

고은이플란트치과는 약속합니다
더 정직하게, 더 바르게, 더 편안하게 진료하겠습니다
앞니 신경치료 후 치아미백, 크라운까지

작성일 | 2025.11.17 작성자 | 관리자

오늘은

앞니 변색치근단 농양으로 내원셨던

한 환자분의 치료 과정을

소개해드리려고 합니다.

 

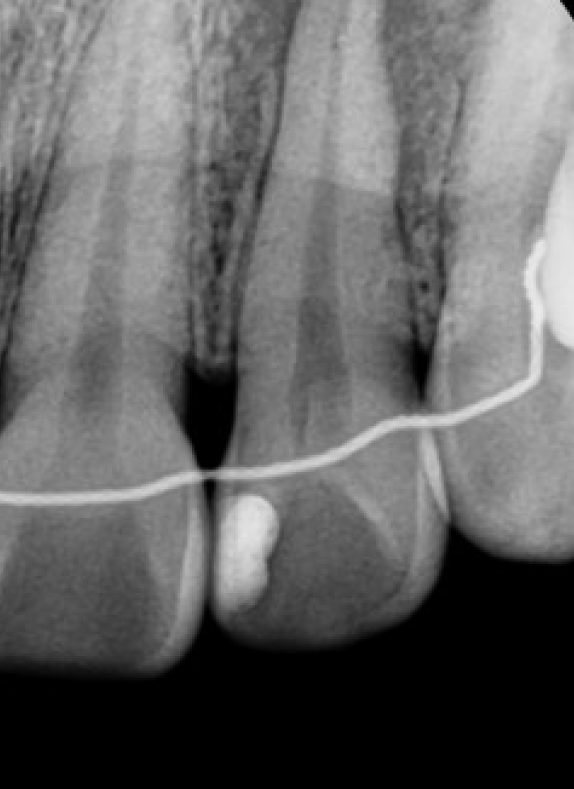
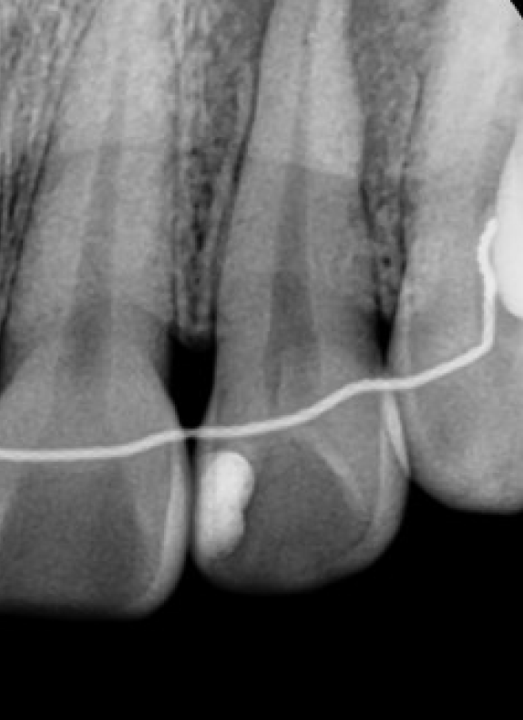
내원 당시 모습:

색이 변한 앞니 + 엑스레이에서 보인 문제

 

환자분은 거울에 비치는 앞니 색이

유독 한쪽만

회색빛으로 짙게 변해 보인다는 이유로

내원하셨습니다.

 

구강 내에서 확인했을 때도

다른 치아와 비교해

명확한 변색이 있었고,

단순 표면 얼룩과는 다른 양상이었습니다.

 

엑스레이 촬영 결과,

해당 치아의 치수(신경)가

이미 괴사된 상태였고

 

치아 뿌리 끝(치근단) 주변으로

어두운 음영이 보였습니다.

 

이런 경우 변색은

‘겉이 더러워진 것’이 아니라

치아 내부에서 조직이 부패하면서

색이 변한 것이기 때문에

 

신경치료가 반드시 필요합니다.

 

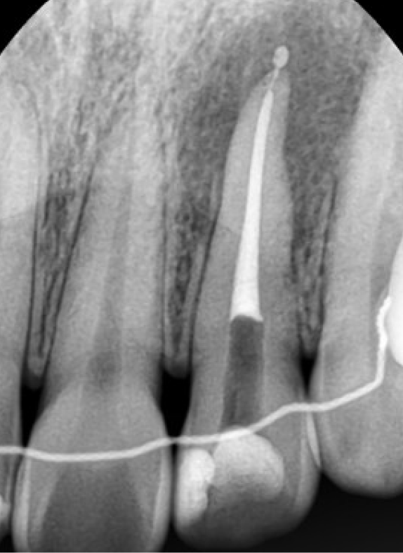
1단계. 근관치료(신경치료)

 

먼저 괴사된 신경 조직을 제거하고

치근단 부위의 염증을

깨끗하게 정리해주는

 

근관치료를 진행했습니다.

 

다행히 환자분의

치근 형태가 복잡하지 않아,

 

예상한 일정 내에서

마포 신경치료를

잘 마무리할 수 있었습니다.

 

2단계. 실활치 미백(내부 미백)

 

신경치료가 끝난 후

바로 크라운을 씌우기도 하지만,

 

이번 케이스는

환자분이 심미성을

많이 고민하셨기 때문에

 

실활치 미백을 먼저 진행했습니다.

몇 차례 조정 후

다른 앞니들과 비슷한 밝기로 회복되어

 

크라운 제작을

시작할 수 있었습니다.

 

3단계. 크라운으로 형태·색·강도 회복

 

근관치료내부 미백이 끝나면

남은 치아 구조가

약해져 있기 때문에

 

크라운으로 감싸 보호하는 것

필요합니다.

 

특히 앞니는

심미적인 기준이 높기 때문에

- 기존 치아의 투명도

- 주변 치아의 밝기

- 잇몸선과의 조화

 

등을 세심하게 맞춰 제작했습니다.

 

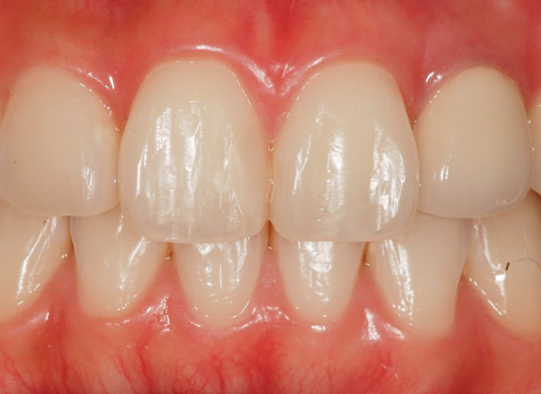
최종 크라운을 장착했을 때

변색도 해소되고

 

앞니 라인도 자연스럽게 정렬되어

환자분도 만족해하셨습니다.

 

이번 케이스처럼

1. 신경치료

2. 실활치 내부 미백

3. 크라운 복원

 

세 가지 과정을 순서대로 진행하면

기능과 심미성을 모두

회복할 수 있습니다.

 

앞니 색이 갑자기 변해

고민하고 계시다면

조기에 정확한 진단을 받아보시는 것이

좋습니다.

 
 

 

목록

이전글 신경치료 후 크라운 안하면 안되는 이유 2025.10.31
다음글 틀니 대신 전체임플란트를 선택하는 이유 2025.11.24