간편 상담

궁금하신 사항을 아래 문의 내용에 입력해주시면
보다 빠르게 전화로 상담을 도와드립니다

이름
연락처
문의내용

 GOEUN E PLANT DENTAL CLINIC

고은이플란트 칼럼

고은이플란트치과는 약속합니다
더 정직하게, 더 바르게, 더 편안하게 진료하겠습니다
결혼식 전 치아미백 언제하는게 좋을까요?

작성일 | 2025.12.17 작성자 | 관리자

결혼을 앞두고 계신 예비 신부님들이 
마포 공덕역 치과에 
많이들 찾아 오십니다.


드레스, 메이크업, 헤어만큼이나 
사진에 가장 또렷하게 남는 것이 
치아이기 때문이죠.

 

이번에 내원하신 환자분도
결혼식을 약 한 달 앞두고 
웃을 때 치아 색이 신경 쓰인다라고 하시며

본원에 방문하셨습니다. 

 

 


겉으로 보기엔
크게 문제 없어 보일 수 있지만,

 

막상 웨딩 촬영이나 본식 사진을 떠올리면
조금만 어두워 보여도
마음에 걸리기 마련입니다.

 

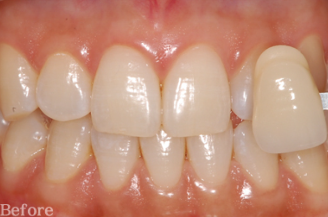
이번 환자분은
전반적으로 톤이 어두워진 경우라

미백 효과를 기대할 수 있는
조건이었습니다.

 

 

결혼식 전
언제 치아미백을 받는 게 좋냐고

많이들 여쭤보시는데요,

 


아주 중요한 질문입니다.

 

 

보통 본식 기준

2~3주 전을 권해드립니다.


미백 직후가 가장 하얗긴 하지만

색이 어느 정도
안정되는 시간이 필요하고

 

혹시 모를 시림이나 불편감도 
고려해야 하기 때문입니다.

 

 

 

이번 경우도
본식 약 한 달 전 내원하셔서
여유 있게 미백을 진행했고,

 

촬영과 본식 모두
자연스러운 톤을 유지할 수 있었습니다.

 

 

 

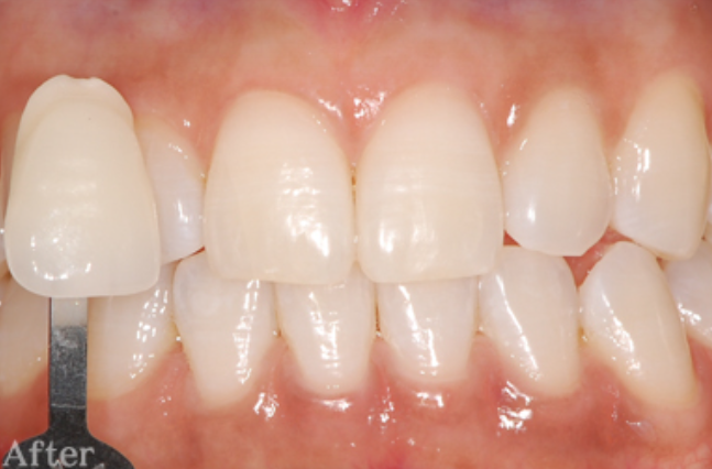
전후 사진을 보시면
치아 하나하나의 형태는 그대로인데

전체 인상이 훨씬 밝아진 것을
확인하실 수 있습니다.

 

과하게 하얗기보다는
피부톤과 잘 어울리는 
자연스러운 미백을 목표로 했고,

웃을 때 훨씬 편안해 보이는 인상으로
변화했습니다.


환자분도
화장을 진하게 하지 않아도 
얼굴이 밝아 보인다며 만족하셨습니다 :) 

 

 

 

치아미백을 진행하고 나면
시리진 않을까 걱정하시는 분들이

꽤 많습니다. 


미백 후 시림은 개인차가 있지만,

대부분은 일시적이고 
수일 내로 사라지는 경우가 많습니다.


진행 전 
잇몸 상태와 기존 시림 여부를 먼저 확인하고,

필요한 경우 
농도와 횟수를 조절해 진행하는것이
베스트 입니다. 


모든 경우에 
같은 결과가 나오는 것은 아니기 때문에

 

- 내 치아 상태에 맞는지
- 언제, 어떻게 진행하는 게 좋은지
- 이후 관리까지

 

차분히 설명을 듣고 결정하시는 것이
무엇보다 중요합니다.

 

결혼, 중요한 촬영,
새로운 시작을 앞두고 계시다면

조금 더 자신 있게 웃을 수 있도록
미백이라는 선택지를
한 번쯤 고려해보셔도 좋겠습니다 ^^

 

목록

이전글 틀니 대신 전체임플란트를 선택하는 이유 2025.11.24
다음글 수능끝나고 치아미백 하기위해 방문한 사례 2026.01.09