간편 상담

궁금하신 사항을 아래 문의 내용에 입력해주시면
보다 빠르게 전화로 상담을 도와드립니다

이름
연락처
문의내용

 GOEUN E PLANT DENTAL CLINIC

고은이플란트 칼럼

고은이플란트치과는 약속합니다
더 정직하게, 더 바르게, 더 편안하게 진료하겠습니다
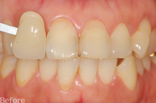
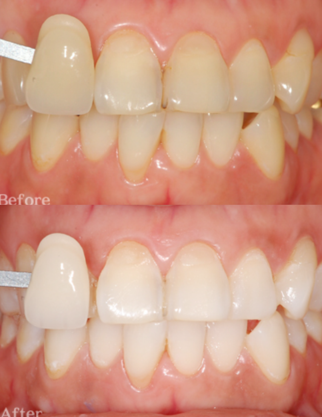
수능끝나고 치아미백 하기위해 방문한 사례

작성일 | 2026.01.09 작성자 | 관리자

안녕하세요.

고은이플란트치과입니다.

 

치아미백 상담을 하다 보면

생각보다

부모님과 자녀가

함께 내원하시는 경우가

종종 있습니다.

 

이번에 내원하신 분도

딸아이가

수능을 끝내고 나서

치아 색이 신경 쓰인다고 하더라

라는 말씀과 함께

상담을 위해 방문하셨습니다.

 

 

 

특별히 통증이 있거나

치료가 필요한 상황은 아니었지만,

 

사진을 찍거나

웃을 때 어둡게 보이는 것이

계속 마음에 걸렸다고 하셨습니다.

 

 

- 사람들 앞에서 웃을 일이 많아질 때

- 사진 촬영이 잦아질 때

- 교정이나 큰 일정이 끝난 직후

- 나를 위한 관리를 해도 되겠다는 시점

 

특히 수능이나 큰 시험을 마친 이후에는

외모 관리에 대한 관심이

자연스럽게 높아지게 됩니다.

 

이번 사례도

맘 편히 환하게 웃고 싶다는 마음에서

시작된 상담이었습니다.

 

 

상담을 진행하면서

가장 많이 나오는 질문은

단연 이것입니다.

 

“미백하면 이가 많이 시리진 않나요?”

“생활에 지장이 있을 정도로 아프진 않나요?”

 

시술 후 시림은

개인차가 있는 반응입니다.

 

다만 모든 사람이

심하게 겪는 것은 아니며,

 

상태·기존 시림 여부·방식에 따라

충분히 조절이 가능합니다.

 

 

이번 환자분의 경우에도

들어가기전

잇몸 상태와 치아 민감도를

먼저 확인했고,

 

그 다음단계로

자연치 색상을 확인했습니다.

 

이후

자극이 과하지 않도록

횟수와 농도를 나누어 계획했습니다.

 

- 1주일 동안 총 3회 내원

- 회당 약 1시간 내외

 

이렇게 진행되었습니다.

 

 

회사 업무 중 잠시 외출해

치료를 받으실 수 있을 정도로

 

일상에 큰 부담을 주지 않는

일정이었습니다.

 

이러한 방법은

무리하게

한 번에 색을 빼기보다는,

 

적응할 시간을 주면서

서서히 밝히는 방식으로 진행하기 때문에

시림이나 찌릿한 느낌이 덜 들도록

마무리할 수 있었습니다.

 

 

 

전 후 사진을 비교해 보면

차이가 느껴지실겁니다.

 

실제로 치료가 끝난 뒤에도

 

이후에

시리거나 불편한 느낌이 있었는지

꼼꼼하게 확인해보았지만

 

거의 없었다는 이야기를 하셨습니다 ^^

 

 

 

치아미백의 가장 큰 변화는

단순히 색이 하얘지는 것만은

아닙니다.

 

웃을 때

입을 가리지 않게 되고

사진에서 표정이 훨씬 자연스러워지며

 

화장을 하지 않아도

얼굴 인상이 밝아 보이게 되죠.

 

이번 환자분 역시

윗니 보이게 웃어도 신경 쓰이지 않는다고

말씀을 해주셨습니다.

 

과하게 하얗기보다는

 

자연치 느낌을 유지하면서

전체 인상이 환해지는 방향으로

마무리했습니다.

 

 

중요한 점은

모든 경우에 똑같은 효과를 내는

치료는 아니라는 점입니다.

 

1. 크라운이나 레진이 많은 경우

2. 신경치료로 변색된 치아

3. 잇몸 상태가 좋지 않은 경우

 

이런 경우에는 미백만으로

원하는 결과가 나오지 않을 수 있어

사전에

충분한 설명과 판단이

필요합니다.

 

그래서 고민하신다면

내 치아 상태에 맞는 방법인지

먼저 확인하는 것이 중요합니다.

 

고민하고 계시다면

언제, 어떻게 진행하는 것이 좋은지

차분히 설명을 듣고

결정해보시길 권해드립니다.

 

지금까지

고은이플란트치과였습니다.

감사합니다 :)

목록

이전글 결혼식 전 치아미백 언제하는게 좋을까요? 2025.12.17
다음글 신경치료는 왜 치과보존과 전문의를 찾아가야 할까요? 2026.04.10